Tooth whitening or bleaching
Tooth whitening or bleaching is defined as any process that will make teeth appear whiter. There are two ways this is commonly done: bleaching and non-bleaching whitening products. Often the terms “bleaching” and “whitening” are used interchangeably.
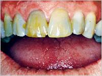
Over time, drinking coffee, red wine, smoking cigarettes, and simply aging can stain our teeth, as can certain medications such as tetracycline.Tooth whitening procedures are designed to remove these stains.


Not everyone is a good candidate for teeth whitening, which is why you want to talk to a dentist before you have it done. If you have large fillings or crowns (caps) on your front teeth, teeth bleaching is not a good idea. The chemicals will bleach your natural teeth but not your dental restorations (which are made from ceramic, porcelain or composite material), resulting in your teeth being different colors.
Teeth whitening is most effective on yellow discoloration, and can be less effective on brown or gray discolored teeth, especially when the discoloration is the result of exposure to tetracycline antibiotics while teeth are still developing.
Tooth whitening or bleaching procedure.
The dentist will insert a lip retractor into your mouth, which is just a plastic guide that moves your lips out of the way so your teeth are easy to access.
The dentist will then cover your gums around your front teeth with a gel and then harden it with a high-powered light. This is called a gingival barrier, and it protects your gums from the teeth bleaching chemicals during the whitening process. The dentist may also apply a compound to your teeth that will help prevent tooth sensitivity.


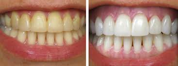
The actual whitening process involves the dentist applying a gel made of 15% to 35% hydrogen peroxide to your front teeth. Hydrogen peroxide can penetrate the porous outer layer of your teeth and break apart stain compounds using a chemical reaction called oxidation. Depending on the whitening system being used, the application of the whitening gel may be followed by applying a high-powered light that speeds up the whitening process.
Most systems involve multiple applications of the gel throughout the whitening session. The dentist will rinse off the gel and reapply a fresh coat as many times as necessary within the space of about 40 minutes. Once complete, the whitening procedure can achieve four to six shades of whitening after only one session

