Dental wiring braces treatment

Dental wiring braces treatment is also known as Orthodontics. It is the science of straightening and correcting protruded ,retracted or crowded teeth.

dental wiring braces treatment cost jalandhar punjab india

Who Needs Dental wiring braces treatment Orthodontic Treatment ?

Children as well as adults, are choosing to have orthodontic treatment for several reasons :

  1. Malocclusion (bite or occlusion is off)
  2. Tooth malalignment (crooked teeth)
  3. Unhappy with appearance of teeth
  • During the preteen and teenage years, the jaws are growing and maturing, therefore it is easier to shift teeth at this stage rather than later on in adulthood.
  • More adults are choosing to have orthodontic treatment in order to improve the appearance of their teeth. Since their jaws are no longer growing, treatment may take a little longer.

Children those who have bad habit like thumb sucking, lip biting, tongue thrust, mouth breathing should be treated in early dentition to avoid gross malalign at late stage. Early loss of milk teeth is another reason for irregular & proclination of teeth. As most the parents think that milk teeth will shed so these are less important. But children’s health, chewing & future aesthtic early extraction of milk teeth should be avoided.

 

dental wiring dentist cost punjab

Thumb sucking causes proclination

 

dental wiring dentist cost punjab

Lip biting leads to upper incisors forward

 

dental wiring dentist cost punjab

Mouth breath leads upper front teeth protrustion

dental wiring dentist cost punjab

Tongue thrust or biting leads to open mouth

braces orthodontic treatment price

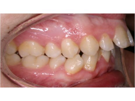
PROTRUDED TEETH

How does braces treatment or orhthodontic treatment work ?

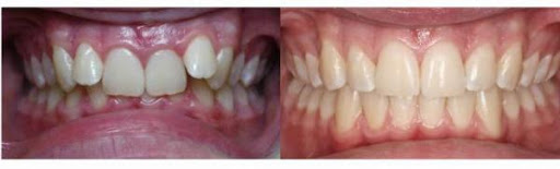
Smile is the index of happiness. Beautiful smile attract others. A set of good aligned teeth improve one’s profile & personality.Irregular, Procline, Crowded & Malaligned teeth can be beautifully align by orthodontic treatment. 

orthodontic treatment price

BEFORE AND AFTER BRACES TREATMENT

  • Teeth can slowly be moved and shifted into proper position by applying pressure in certain directions. Bands, wires and elastics are placed on the teeth to move them in the right direction. This takes place slowly and carefully over an extended period of time.
  • Shifting teeth back into a functional position can take months to years, but eventually you’ll have a new and improved mouth!
  • Retainers are often used after the braces, to hold the teeth in their new position until they are stable.
  • It is important to wear the braces or an appliance for however long it takes. If you quit at any point during treatment, the teeth can shift back into their old position.

Orthodontic appliances are two types one is removal & other is fixed one by which mild & constant forces applied on teeth are to be aligned.

 

braces treatment jalandhar punjab

 

 

 

 

 

Fixed Orthodontic device

orthodontic treament jalandhar punjab

 

 

 

 

 

 

 

Removable orthodontic device

Types of braces

1.Metal braces/Traditional braces

These are the metal brackets and wires that most people picture when they hear the word “braces.” However, modern brackets are smaller and less noticeable than the notorious “metal-mouth” braces that many adults remember. Plus, new heat-activated archwires use your body heat to help teeth move more quickly and less painfully than in the past

2.Ceramic Braces

Ceramic braces are the same size and shape as metal braces, except that they have tooth-colored or clear brackets that blend in to teeth. Some even use tooth-colored wires to be even less noticeable.
invisible braces cost jalandhar punjab india

 

 

 

 

 

Pros: Less noticeable than metal braces; move teeth much faster than clear plastic aligners (Invisalign)
Cons:More expensive than metal braces; Brackets can stain easily if patients don’t care for them well

3.Lingual Braces

Lingual braces are the same as traditional metal braces, except that the brackets and wires are placed on the inside of teeth.
invisible braces jalandhar

 

 

 

 

Pros:Invisible from outside
Cons:Difficult to clean; more expensive; not appropriate for severe cases; can be more uncomfortable at first; regular adjustments take longer and are more difficult than with traditional braces

4.Invisible braces

What are invisible braces/Invisalign

Invisible braces are the latest technology in the field of orthodontics. It is ideal for the people who want their teeth to be straightened but are conscious about their appearance and do not want wires to be hanging from their teeth all the time.

Invisalign

Invisalign consists of a series of 18 to 30 custom-made, mouth guard-like clear plastic aligners. The aligners are removable and are replaced every 2 weeks.
Invisalign cost jalandhar punjab india

 

 

 

 

 

Pros: Almost invisible; Patients can eat and drink whatever they want
Cons: Will not work for serious dental problems; only available for adults and teens, not children; more expensive option; can be easily lost and costly to replace; treatment may potentially take longer.