GLAUCOMA SURGERY

Glaucoma  surgery is done to treat glaucoma [kala motia]

what is gaucoma?  Increase in the pressure inside the eye ball is known as glaucoma. It is of two types.

glaucoma surgery jalandhar punjab india
glaucoma kalamotia treatment jalandhar punjab india

1. Acute Congestive Glaucoma : Patient comes with attack of pain & congestion in the eye and sudden decrease of vision.

2. Chronic Simple Glaucoma : It produces gradual painless loss of vision. This type is more notorious because patient may loose vision without any other symptom and by the time diagnosis is made, It is already very late.

In glaucoma because of increased pressure inside the eye ball the blood supply of optic nerve (nerve connecting eye with brain) is hampered, producing optic atrophy which causes permanent decrease in vision.

glaucoma surgery jalandhar punjab india

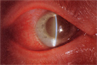
Acute congestive glaucoma

glaucoma surgery jalandhar punjab india

Optic nerve damage in glaucoma

Treatment : Early diagnosis is very important. After the age of 40 years, intra ocular pressure should be checked at 6 month intervals. Once the disease occurs, antiglaucoma medicines are given or surgery is done.

Glaucoma Surgery :

A small hole is made to drain excessive fluid collected in the eye ball to out side so that blocked out flow passages are by passed.

glaucoma kalamotia treatment jalandhar punjab india
glaucoma kalamotia surgery cost jalandhar punjab india

glaucoma kalamotia surgery price jalandhar punjab india
glaucoma kalamotia surgery cheap price jalandhar punjab india

Glaucoma Surgery in progress

Laser treatment

our centre is equipped with latest lasers, yag laser for laser trabeculoplasty and YAG peripheral iridectomy.

glaucoma kalamotia laser treatment jalandhar punjab india

yag laser Nidek YC 1800